
SAHZU Chairman and Member of Chinese Academy of Sciences Prof. WANG Jian'an and his team have recently demonstrated two interventional cardiology procedures in Russia on August 7
At the invitation of the National Medical Research Center of Cardiology n.a. Academician E.I Chazov, Prof. WANG performed the transcatheter mitral edge-to-edge repair (TEER) using the DragonFlyTM system on two Russian patients who were suffering from severe mitral regurgitation and were in a critical state of life.
The device used in the operation, DragonFlyTM system was a Chinese designed and made device that is developed by the State Key Laboratory of Transvascular Implantation led by Prof. WANG Jian'an, in collaboration with a Hangzhou-based medical technology company.
Case1
The patient is a 72-year-old female with mitral valve P3 prolapse and severe mitral regurgitation. After evalsuation, the patient was suitable for transcatheter mitral edge-to-edge repair (TEER) using the DragonFly™ system.
The procedure was uneventful, with only one XW0612 mitral clip implanted in P3 position to close the leaflet. The patient's regurgitation decreased with pulmonary venous regurgitation improved, and the mitral valve pressure difference was 1 mmHg, significantly improving the patient's cardiac function.
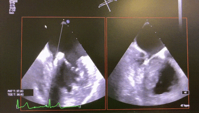
Before


After


Case 2
The patient was a 73-year-old male with mitral valve p2 prolapse, severe calcification of the posterior leaflet root, severe mitral regurgitation with an orifice area of 4.1 cm². After evalsuation, transcatheter mitral edge-to-edge repair (TEER) was performed using the DragonFly™ system on the patient.
The procedure was smooth and uneventful. A SW0609 mitral clip was implanted to close the leaflet at P2, and the patient's regurgitation disappeared, with a mitral pressure difference of 2 mmHg and a significant decrease in left atrial pressure.
Before


After


In June and July, Assistant President of SAHZU and Vice Chair of SAHZU Cardiology Prof. LIU Xianbao and Executive Vice Chair of SAHZU Cardiology Prof. JIANG Jun were also invited to Spain and Thailand to demonstrate transcatheter mitral edge-to-edge repair (TEER) and complex percutaneous coronary intervention procedures.