ZJU Medicine 7th Issue
ZJU Medicine 7th Issue.pdf
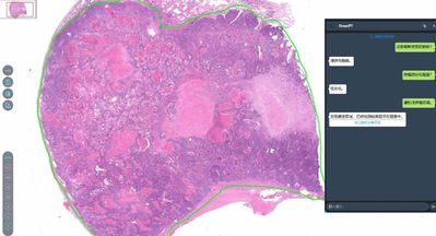
Artificial intelligence (AI)-enabled medical diagnostic tools are improving cancer screening accuracy, helping do...
Laparoscopic, Endoscopic and Robotic Surgery (LERS) (CN 33-1421/R, ISSN 2468-9009) is the first diamond open-access, peer-re...
PENG ShuyouProfessor of Surgery, Chief Physician, Doctoral Supervisor Honorary Fellow of the American College of Surgeons Honorary Fellow of...
In a recent study published online by Neuron on January 8, 2025, a research team from Zhejiang University Sc...
In 2024, Zhejiang University School of Medicine was awarded the “Cell-Microenvironment Interaction Discipline Innovat...
HUANG Haojie Qiushi Chair Professor, Zhejiang University Director, Institute of Urologic Science and Technology, The First Affiliated Hospit...
In a groundbreaking study published on March 31, 2025, in the prestigious medical journal The Lancet, a team from the Second Affiliated...
The Fourth Affiliated Hospital of Zhejiang University School of Medicine has achieved a significant milestone by performing China's firs...
Oncolytic viruses, as promising and effective therapeutic cancer vaccines, are ushering in a new era for advanced hepatocellular carcinoma (...
High arterial blood pressure (A.K.A. hypertension) attacks over 1/3 of adult population worldwide. As a “silent killer”, hypertension exac...
Chyle leak (CL) following pancreatectomy primarily results from iatrogenic injury to the cisterna chyli or its tributaries during pancreatic...
Students from the School of Medicine, Zhejiang University visited London and Cambridge for a study tour during the 2025 winter vacation...
World Journal of Pediatrics (WJP) (ISSN 1708-8569), founded in 2005, is the first international pediatric journal in English in the Chinese ...